Лечение кариеса у детей
Необходимость лечения зубов у детей – повод, с которым чаще всего обращаются на прием к детскому стоматологу. За последние годы современная медицина сделала значительный шаг вперед в эффективности проводимых мероприятий. В настоящее время, применив малоинвазивные методики, удается провести лечение максимально щадящим способом, имеются все условия для осуществления пломбирования без боли. Повысив эффективность профилактических действий, убедив население в их обязательности, специалистам удалось значительно сократить число случаев заболевания, осложнений кариеса.
Нужно ли лечить кариес молочных зубов?
В быту существует мнение об отсутствии необходимости проведения лечебных мероприятий у детей. Однако специалисты едины во мнении, что такой подход опасен. Болезнетворные микроорганизмы в полости рта – фактор, который оказывает негативное влияние на деятельность всего организма. Именно наличие инфекции в полости рта называют одной из основных причин развития хронического тонзиллита у детей, почечной патологии, атопического дерматита и других хронических заболеваний. Такие предпосылки оказывают негативное влияние и на общий иммунитет ребенка.
Почему возникает кариес у детей?
Развитие кариеса обусловлено патогенным влиянием определенных видов стрептококков. Их действие оказывается более активным благодаря ряду предрасполагающих факторов:
- Особенности строения эмали молочных зубов, ее более тонкому слою.
- Низкому качеству гигиенических мероприятий и наличию легко усваиваемых углеводородов в полости рта. Так, длительное нахождение соски с питанием во рту способствует развитию бутылочного кариеса.
Современная стоматология не исключает инфекционный путь передачи возбудителя от родителей ребенку, что может отмечаться при смачивании соски слюной матери, пользовании одной ложкой с ребенком.
Симптомы
Кариес – патологический процесс, при котором типично медленное развитие симптоматики. Начальная стадия никакими субъективными ощущениями не сопровождаются. Патологический процесс может быть обнаружен визуально в ходе выявления участков беловатого или желтоватого цвета на поверхности зуба. Уточнить патологию поможет и диагностический тест, проводимый детским стоматологом.
На более поздних стадиях симптомами являются:
- болевые ощущения;
- поражение тканей зуба в виде пятен, участков разрушения;
- неприятного запаха в полости рта.
В тех случаях, когда уточнить характер и глубину поражения сложно, проводится рентгенологическое исследование.
Виды и стадии
В зависимости от глубины поражения твердых тканей заболевание в своем развитии проходит несколько стадий. Поскольку первыми признаками начального кариеса являются участки беловатого или желтоватого цвета на поверхности зуба, это дало повод к названию — стадия пятна. По мере развития патологического процесса различают:
- поверхностный;
- средний;
- глубокий кариес.
Уточнить стадию патологического процесса важно, поскольку от этого зависит характер лечебных мероприятий. При поверхностном кариесе определяется хорошо заметный дефект ткани в пределах эмали зуба. Дальнейшее прогрессирование заболевания сопровождается вовлечением в патологический процесс дентина, а типичным симптомом становится наличие кариозной полости. Иногда она может занимать половину зуба.
Выделяют следующие разновидности:
- атипичный, поражающий режущий край зуба или его бугорки;
- пришеечный, локализующийся на границе соприкосновения зуба с десной;
- контактный кариес, отмечающийся в случае поражения межзубных поверхностей;
- множественный, характеризующийся одновременным поражением нескольких зубов.
Современные методы лечения кариеса у детей 2-5 лет
Лечение у детей до 5 лет осуществляется в соответствии со стадией процесса. При этом специалистами обязательно учитываются индивидуальные и характерологические особенности пациента, сопутствующие заболевания. Для того чтобы сделать процесс комфортным, активно применяются различные психологические методы, а также анестезия. У эмоционально нестабильных детей, при сопутствующей патологии нервной системы лечение может осуществляться и под наркозом.
По имеющимся видео очевидно, что специалистами достигнуты серьезные успехи для безболезненного проведения всех этапов. При соответствующих подготовительных мероприятиях дети вполне комфортно себя ощущают в стоматологическом кресле. Современные методики в полной мере учитывают и тот факт, что ребенок до 4-5 лет может оставаться спокойным на приеме врача не более 15-20 минут, в связи с чем, используемые материалы характеризуются быстрым отвердением. Пломбирование зуба по-прежнему остается основным методом у детей, как в возрасте до 3 лет, так и старше. Такая методика является наиболее эффективным способом нормализовать ситуацию в случае поверхностного, среднего и глубокого кариеса. Установка пломбы осуществляется после удаления некротизированных тканей зуба и обработки специальными средствами кариозной полости. При этом лечение глубокого кариеса у детей включает дополнительные мероприятия, направленные на укрепление тканей зуба. Из современных методик все большей популярности набирают воздействие озоном и лазером.
Однако лечения начального кариеса у детей может осуществляться более щадящими способами, путем:
- реминерализации эмали;
- использования системы Айкон.
Безопасность такого воздействия позволяет использовать данную систему у детей до 2 лет.
Преимущества проведения процедуры без бормашины
Возможность лечения без бормашины является серьезным завоеванием современной стоматологии. Особенно эффективны такие методики на стадии белого пятна. Поскольку развитие патологического процесса обусловлено деминерализацией эмали, то положительный результат обеспечат процедуры, направленные на восстановление ее химического состава.
Преимуществом без сверления являются:
- безболезненный характер процедур;
- воздействие только на пораженные участки, оставляя нетронутыми здоровые ткани;
- отсутствие у ребенка отрицательных эмоций, обусловленных звуком и вибрацией бормашины;
- достижение результата за одну процедуру, длительность которой не превышает 20 минут.
При этом лечению поддаются как передние зубы, так и жевательная группа.
Специфика лечения кариеса молочных зубов
Подходы к лечению у пациентов разных возрастных групп несколько отличаются. Для детей раннего возраста типичны такие особенности, как повышенная возбудимость, неусидчивость. Для достижения необходимого результата специалист должен обладать высоким профессионализмом, чтобы в сжатые сроки завершить терапевтические мероприятия. Особенно сложно обеспечить статичное положение в кресле ребенка до 2 лет.
При большом объеме предстоящего лечения, когда требуется провести пломбирование нескольких зубов, все мероприятия могут быть проведены под общим наркозом. Хотя цена окажется выше, в некоторых случаях это единственный выход добиться необходимого результата.
Лечение молочных зубов у детей требует тщательного подхода при выборе препаратов. Врач учитывает, что некоторые из них, являясь безопасными для взрослых пациентов, не могут быть применены у детей. Большую роль в качественном осуществлении лечебных действий играют методы психологического воздействия.
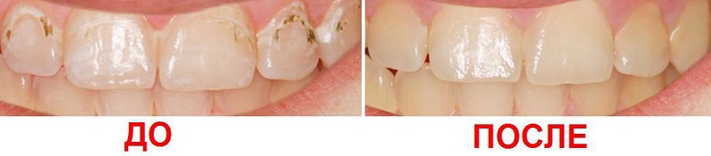
Фото до и после лечения бутылочного кариеса молочных зубов у детей
Кариес постоянных зубов у детей
Постоянные зубы могут появиться у ребенка уже в возрасте 5 лет. Лечение постоянных зубов у детей зависит от глубины поражения и схоже с проведением терапевтических мероприятий у взрослых пациентов. Однако большое внимание уделяется выбору пломбировочного материала и лекарственных средств, используемых для обработки кариозной полости. Они должны быть не только прочными, пластичными, износоустойчивыми, отличаться необходимой эстетикой, но и безопасными для ребенка. Современные материалы позволяют добиться полного восстановления формы и эстетики зуба.
При лечении зубов с несформированными корнями усилия специалистов направлены на то, чтобы создать условия для их дальнейшего роста и развития. В связи с этим, находят применение исключительно консервативные методики.
Домашними средствами, используя анальгезирующие препараты, удастся лишь несколько снизить болевые ощущения, типичные при кариесе. Весь же процесс лечебных мероприятий находится в компетенции стоматолога-терапевта.
Возможно ли лечение кариеса зубов у детей в домашних условиях?
Лечение зубов у детей в домашних условиях не проводят ввиду неэффективности подобных действий. Для получения необходимого результата нужны соответствующее оборудование и материалы. Методы народной медицины, востребованные при различных патологических процессах, при поражении твердых тканей зуба не принесут никакой пользы. Самостоятельными усилиями не удастся обеспечить ни реминерализации эмали, ни восстановления зуба, разрушенного кариозным процессом.
Можно ли провести процедуру без боли?
Безболезненное проведение лечебных мероприятий является одним из основных условий деятельности современных стоматологов. При этом лечение на начальной стадии заболевания осуществляется без анестезии, поскольку по своему характеру такие действия не сопровождаются неприятными ощущениями.
Более глубокое поражение эмали подразумевает использование различных методов анестезии, аппликационной или инъекционной. При этом с помощью тончайших игл даже введение препарата путем укола осуществляется практически без боли.
Не исключается лечение у детей под общим наркозом. Для этого современные клиники располагают всеми возможностями технического плана. Решение может быть продиктовано большим количеством пораженных зубов, психическими заболеваниями. И хотя проведение терапевтических мероприятий под наркозом не является предпочтительным, в тяжелых случаях такой подход актуален.
Профилактика кариеса у ребенка
Насколько бы безболезненно не протекал лечебный процесс, мероприятия по предупреждения кариеса крайне важны. Для этого в возрасте 2-3 лет ребенка необходимо активно приучать к проведению очищающих процедур полости рта, полосканию ее после приема пищи. Наиболее надежным профилактическим мероприятием является медосмотр. Если каждые 3-4 месяца полость рта будет осмотрена специалистом, при необходимости проведена реминерализация эмали, то это позволит заметно снизить риск развития кариеса у детей.
Отзывы
По отзывам пациентов, в клинике ВладСтом-Вешняки лечение кариеса у детей осуществляется качественно и по доступной цене. Серьезное внимание уделяется профилактическим мероприятиям, а также отсутствию боли в ходе их проведения.
- Пугачева Светлана Петровна. Я обратилась в клинику ВладСтом-Вешняки по поводу частого кариеса у моего сына. Ему только 5 лет, а мы уже несколько раз вынуждены были пломбировать зубы. В ходе консультации выяснилось, что нами совсем не проводились важные мероприятия по профилактике заболевания. Учитывая генетическую склонность к такому развитию ситуации, нужно было ответственнее к этому относиться. Спасибо специалистам за внимательное отношение к проблеме. Надеюсь, что теперь нам удастся обеспечить профилактику в полной мере.
- Васильева П.И. Вся наша семья на протяжении нескольких лет посещает клинику ВладСтом-Вешняки для лечения зубов, протезирования. Пришлось обратиться и по поводу кариеса у младшего сына. Как и ожидалось: все прошло замечательно! Внимательное отношение, улыбчивость персонала, умелые действия врача обеспечили быстрый результат. Благодаря местной анестезии ребенок достаточно терпеливо перенес все манипуляции.
Стоимость лечения кариеса у детей
Цены зависят от характера и глубины поражения, использованного метода анестезии. При обращении к специалистам в начальной стадии заболевания цена лечебных мероприятий зависит и от используемой методики. Однако какой бы метод не был взят за основу, лечение является доступным. Его нельзя игнорировать, поскольку такие действия приведут к осложнениям, усугубят общее состояние пациента.
| Вид услуг | Цена |
| Лечение молочного зуба | 1900-2100 руб. |
| Лечение постоянного зуба | 2500-3300 руб. |
Цены на остальные услуги детской стоматологии, Вы можете посмотреть в разделе <<ЦЕНЫ>>
Где провести процедуру
Лечение кариеса зубов у детей удобно осуществить в клинике ВладСтом-Вешняки. В этом случае эффективность проводимых мероприятий гарантируется высокой квалификацией детского стоматолога, современным оборудованием, безупречным качеством материалов. При этом пациенты ценят ответственное отношение специалистов к делу, их высокие коммуникативные качества, способствующие доверительным отношениям с ребенком. При таком подходе качественный результат будет обеспечен.









