Реставрация зубов с помощью виниров
Реставрацией зубов называют ряд стоматологических манипуляций, которые направлены на восстановление патологически измененного или поврежденного зуба. Данная процедура сегодня является очень популярной среди пациентов клиник, однако имеет очень много тонкостей и нюансов.
Современная ортопедическая стоматология позволяет сделать улыбку пациента практически идеальной с эстетической точки зрения. Одной из наиболее прогрессивных и популярных технологий является винирование. Виниры представляют собой тончайшие керамические пластины, замещающие вестибулярную поверхность. Они способны скорректировать его цвет, форму, размер, устранить возрастные изменения и травматические повреждения. Виниры изготавливаются по индивидуальному слепку пациента в зуботехнической лаборатории в соответствии с его пожеланиями.
Как происходит установка виниров
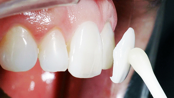
Перед установкой виниров необходимо вылечить кариес и сделать профессиональную гигиену полости рта. Установить виниры можно как на один зуб, так и на все в зоне улыбки. При первом посещении клиники проводится препарирование под виниры. Стоматолог снимает незначительное количество эмали – всего 0.3 – 0.5 мм, что равно толщине самого винира. Если этого не сделать, зубы после реставрации будут выглядеть неестественно выпуклыми. Затем при помощи специальной массы снимают слепок. Из высокопрочной керамики нужного оттенка в лаборатории изготавливают виниры. Их примерка и фиксация осуществляются при втором посещении клиники.
На что способны виниры
- Кардинальное изменение цвета
- Изменение формы и размера
- Незначительная коррекция положения зубов
- Выравнивание режущего края зубов
- Создание совершенной эстетики улыбки
Запись на процедуру
Установить керамические виниры на метро Выхино вы можете в стоматологической клинике «ВладСтом-Вешняки». Также, мы предлагаем пациентам и более доступный по стоимости вариант – прямые виниры из композитного материала. Запишитесь на консультацию к специалисту по телефону или через сайт.
Фото до и после установки виниров:
Стоимость услуг по направлению:
| Вид услуг | Цена |
| Изготовление винира | 6 000 руб. |






